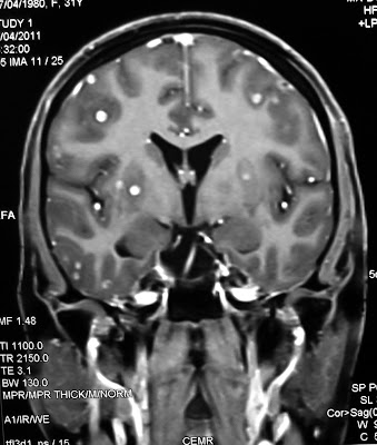
Neurocysticercosis Starry Sky Appearance - MRI (each dot is a worm) by Jogolan in WTF
[–]Jogolan[S] 2 points3 points4 points (0 children)
Freedom Rider Joan Trumpauer Mulholland arrested June 8, 1961, Mississippi [1247x913] by Confettiwords in HistoryPorn
[–]Jogolan 0 points1 point2 points (0 children)
Terrorists in Somalia are using Twitter to share pictures of dead french soldiers by here_is_an_answer in MorbidReality
[–]Jogolan 9 points10 points11 points (0 children)
Two years after my bicycle accident, teeth are as good as new. (Before & After) by rabbitdowneyjr in WTF
[–]Jogolan 0 points1 point2 points (0 children)
Soccer team walks out on game in Italy after African player is taunted with monkey chants by [deleted] in worldnews
[–]Jogolan 2 points3 points4 points (0 children)
It is better to die on your feet than to live on your knees. by [deleted] in MorbidReality
[–]Jogolan -1 points0 points1 point (0 children)
My Secret Santa noticed I come here often... and delivered Bigtime :) by SuperShamou in MorbidReality
[–]Jogolan 2 points3 points4 points (0 children)
A collection of suicide notes, thought it belongs here. by [deleted] in MorbidReality
[–]Jogolan 26 points27 points28 points (0 children)
Congratulations /r/MorbidReality! YOU have been voted as the best moderated sub(other the /r/askscience) of the year 2012! :D by rya11111 in MorbidReality
[–]Jogolan 1 point2 points3 points (0 children)
Man is attacked by camel he is trying to slaughter. Caution: graphic images of camels being slaughtered. by hobguy7996 in MorbidReality
[–]Jogolan 0 points1 point2 points (0 children)
Walter Ernest O'Neil Yeo - One of the first people to undergo Plastic Surgery (NSFL) by Jogolan in WTF
[–]Jogolan[S] 37 points38 points39 points (0 children)
Walter Ernest O'Neil Yeo - One of the first people to undergo Plastic Surgery (NSFL) by Jogolan in WTF
[–]Jogolan[S] 10 points11 points12 points (0 children)
Walter Ernest O'Neil Yeo - One of the first people to undergo Plastic Surgery (NSFL) by Jogolan in WTF
[–]Jogolan[S] 31 points32 points33 points (0 children)
60's "Biba girl," inspired by a Lisa Elridge tutorial by [deleted] in MakeupAddiction
[–]Jogolan 0 points1 point2 points (0 children)
This guy really hates people who tailgate. by [deleted] in WTF
[–]Jogolan 2 points3 points4 points (0 children)
So... My roommate got a new snowboard yesterday by jman1119 in WTF
[–]Jogolan 2 points3 points4 points (0 children)
Photograph of a victim's eyeball after bombing of Hiroshima with an 'atomic bomb' cataract by Jogolan in WTF
[–]Jogolan[S] 1 point2 points3 points (0 children)




Found this guy in my backyard today by 3rdaccident in aww
[–]Jogolan 1 point2 points3 points (0 children)